Kαλέστε μας Δεύτερη γνώμη

Μονοδιαμερισματική Αρθροπλαστική Γόνατος

Αρχική | Επεμβάσεις | Μονοδιαμερισματική Αρθροπλαστική Γόνατος

Τι είναι η Μονοδιαμερισματική Αρθροπλατική Γόνατος;

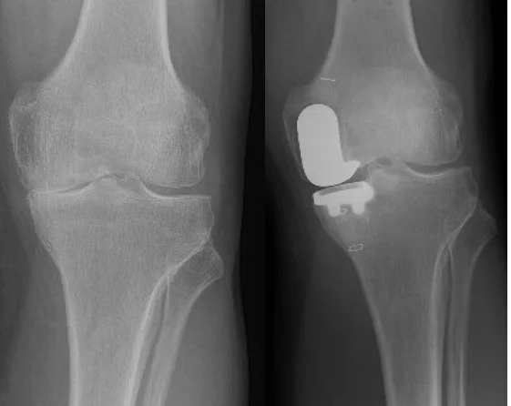
Η μονοδιαμερισματική αρθροπλαστική γόνατος αναφέρεται σε μια χειρουργική διαδικασία για ασθενείς με εντοπισμένη βλάβη σε ένα διαμέρισμα (τμήμα) της άρθρωσης του γόνατος.

Για παράδειγμα, μπορεί να αντικατασταθεί μόνο το έσω ή το έξω μέρος της άρθρωσης, για να αντιμετωπιστεί μια εστιασμένη πάθηση. Αυτή η χειρουργική επέμβαση αντικαθιστά, δηλαδή, ένα φθαρμένο τμήμα του γόνατος, αφήνοντας ανέπαφα τα υγιή τμήματα.

Η αρθροπλαστική γόνατος είναι μια κοινή χειρουργική επέμβαση, που συχνά εφαρμόζεται σε ασθενείς με σοβαρή αρθρίτιδατραυματισμούς ή άλλες παθήσεις που προκαλούν φθορά του γονάτου.

Πιο συγκεκριμένα,η μονοδιαμερισματική αρθροπλαστική γόνατος εμφανίστηκε για πρώτη φορά στις δεκαετίες του 1970 και του 1980. Η εξέλιξη αυτή προέκυψε ως απάντηση στην ανάγκη να ελαχιστοποιηθεί η ανατομική παρέμβαση στον ασθενή, παρέχοντας ταυτόχρονα αποτελεσματική λύση για τον πόνο στο γόνατο λόγω τραυματισμών ή φθορών. Μάλιστα, τα τελευταία 25 χρόνια ο σχεδιασμός των εμφυτευμάτων και η χειρουργική τεχνική έχουν βελτιωθεί σημαντικά. Έτσι, η μονοδιαμερισματική αρθροπλαστική αποτελεί μια πολύ επιτυχημένη επέμβαση για τη μεμονωμένη αρθρίτιδα σε ένα τμήμα του γόνατος.

Πώς πραγματοποιείται η μονοδιαμερισματική αρθροπλατική γόνατος;

  1. Αρχικά, ο χειρουργός εξετάζει το γόνατο του ασθενούς και καθορίζει τον βαθμό της φθοράς. Έπειτα βρίσκει ακριβώς το σημείο που θα εστιάσει η επέμβαση. Η επιλογή για μονοδιαμερισματική αρθροπλαστική γίνεται όταν η φθορά είναι περιορισμένη σε ένα μόνο τμήμα του γόνατος.
  2. Κατά την επέμβαση, ο γιατρός αφαιρεί το φθαρμένο μέρος του γόνατος και προετοιμάζει το σημείο για την τοποθέτηση του εμφυτεύματος. Το εμφύτευμα – ή πρόθεση – που αποτελείται από μέταλλο και πλαστικό, τοποθετείται με ακρίβεια. Αντικαθίσταται έτσι, το κατεστραμμένο τμήμα. Οι υγιείς χόνδρινες επιφάνειες του υπόλοιπου γόνατος παραμένουν ως έχουν.
  3. Στόχος είναι να αποκατασταθεί η κίνηση του γόνατος και να μειωθεί ο πόνος του ασθενούς.
  4. Μετά την επέμβαση, ο ασθενής υποβάλλεται σε περίοδο αποκατάστασης και φυσιοθεραπείας. Στόχος είναι να μπορέσει να κινηθεί όσο το δυνατόν ταχύτερα, και χωρίς πια πόνο.

Πλεονεκτήματα & διαφορές από την ολική αρθροπλαστική γόνατος

  • Λιγότερος χρόνος αποκατάστασης και επούλωσης.Στην μονοδιαμερισματική αρθροπλαστική γόνατος,αντικαθίσταται μόνο ένα συγκεκριμένο τμήμα του γόνατος. Έτσι, η διαδικασία αποκατάστασης και επούλωσης μπορεί να είναι πιο γρήγορη από ό,τι στην ολική αρθροπλαστική.
  • Λιγότερη απώλεια αίματος κατά τη διάρκεια της επέμβασης.
  • Μικρότερη τομή (μέγεθος τραύματος).
  • Η κίνηση του γόνατος είναι πιο φυσική, καθώς δεν κόβονται οι σύνδεσμοι και διατηρείται το υπόλοιπο του γόνατος.
  • Μικρότερος κίνδυνος λοίμωξης, αιμορραγίας και προβλημάτων από την πληγή.
  • Μικρότερη πιθανότητα επιπλοκών. Καθώς παρεμβαίνει λιγότερο στον ιστό του γόνατος, ο κίνδυνος επιπλοκών μπορεί να είναι μικρότερος σε ορισμένες περιπτώσεις.
  • Πιο κατάλληλη για νεότερους, σωματικά πιο ενεργούς ασθενείς συγκριτικά με την ολική αρθροπλαστική γόνατος.
  • Περισσότερο από το 90% των μονοδιαμερισματικών αρθροπλαστικών γόνατος εξακολουθούν να είναι λειτουργικές μετά από 10 χρόνια.

Μειονεκτήματα συγκριτικά με την ολική αρθροπλαστική

  • Λιγότερο προβλέψιμα αποτελέσματα όσον αφορά στην ανακούφιση από τον πόνο και κατ’επέκταση την πιθανότητα επανάληψης του χειρουργείου. Η επανεπέμβαση σχετίζεται με την αντικατάσταση του μη χειρουργημένου τμήματος της άρθρωσης.
  • πιθανότητα φθοράς άλλων μερών του γόνατος, αν και αυτό εξαρτάται από πολλούς παράγοντες.
  • Σε περιπτώσεις εκτεταμένης φθοράς ή ρευματολογικής πάθησης στο γόνατο, η μονοδιαμερισματική αρθροπλαστική ενδέχεται να μην προσφέρει επαρκή λύση.

Σε ποιους ασθενείς απευθύνεται & σε ποιες περιπτώσεις δεν είναι η κατάλληλη θεραπεία;

Η μονοδιαμερισματική αρθροπλαστική γόνατος απευθύνεται σε συγκεκριμένες κατηγορίες ασθενών. Αυτό έχει να κάνει με τα χαρακτηριστικά της φθοράς του γόνατος και τις ανάγκες τους. Ενδεχομένως, όμως, να μην είναι κατάλληλη για όλους. Παρακάτω αναφέρονται μερικά σενάρια όπου η μονοδιαμερισματική αρθροπλαστική γόνατος είναι κατάλληλη και άλλα, στα οποία ενδέχεται να μην είναι η καλύτερη επιλογή:

Κατάλληλη:

  • Περιορισμένη Φθορά: Η μονοδιαμερισματική αρθροπλαστική είναι κατάλληλη όταν η φθορά περιορίζεται σε ένα μόνο τμήμα του γόνατος. Συνήθως είτε το εσωτερικό είτε το εξωτερικό άκρο.
  • Διατήρηση Υγιούς Ιστού: Σε περιπτώσεις όπου ο υγιής ιστός του γόνατος μπορεί να διατηρηθεί, η μονοδιαμερισματική αρθροπλαστική μπορεί να είναι προτιμητέα για τη διατήρηση της φυσιολογικής ανατομίας.
  • Σχετικά Νέοι Ασθενείς: Σε νέους ασθενείς, όπου η διατήρηση της κίνησης και του φυσιολογικού ιστού είναι σημαντική.

Μη Κατάλληλη:

  • Εκτεταμένη Φθορά: Όταν η φθορά του γόνατος είναι εκτεταμένη και επεκτείνεται σε πολλά τμήματα, η ολική αρθροπλαστική μπορεί να είναι προτιμητέα.
  • Καταστροφική Φθορά σε Ολόκληρο το Γόνατο: Σε περιπτώσεις όπου ολόκληρο το γόνατο είναι υπό μεγάλη φθορά και δεν είναι δυνατή η διατήρηση του υγιούς ιστού.
  • Σοβαρή Αστάθεια: Σε περιπτώσεις όπου υπάρχει σοβαρή αστάθεια του γόνατος, η ολική αρθροπλαστική ενδέχεται να είναι προτιμητέα.

Μονοδιαμερισματική Αρθροπλαστική Γόνατος:Επιπλοκές

Όπως σε κάθε χειρουργική επέμβαση, έτσι και στη μονοδιαμερισματική αρθροπλαστική γόνατος μπορεί να παρουσιαστούν ορισμένες επιπλοκές. Ο ορθοπαιδικός χειρουργός οφείλει να συζητήσει όλους τους πιθανούς κινδύνους με τον ασθενή. Επιπρόσθετα πρέπει να λάβει όλα τα απαραίτητα προληπτικά μέτρα για να αποφευχθούν οι πιθανές επιπλοκές.
Αν και σπάνιες, οι πιο συχνές επιπλοκές είναι:

  • Θρόμβωση:
    Η θρόμβωση στις φλέβες των κάτω άκρων είναι η πιο συχνή επιπλοκή μετά από μονοδιαμερισματική αρθροπλαστική γόνατος. Εμφανίζεται μετεγχειρητικά στο εν τω βάθει φλεβικό δίκτυο των κάτω άκρων ή της πυέλου. Αντιπηκτικά, όπως η βαρφαρίνη, η χαμηλού μοριακού βάρους ηπαρίνη (ΗΧΜΒ) ή η ασπιρίνη μπορούν να εμποδίσουν την εμφάνιση αυτής της επιπλοκής.
  • Λοίμωξη:
    Σε όλους τους ασθενείς χορηγούνται αντιβιοτικά στην αρχή της επέμβασης. Συνήθως συνεχίζονται για άλλες 24 ώρες μετεγχειρητικά για να αποφευχθεί πιθανή λοίμωξη.
  • Βλάβη σε νεύρα ή αγγεία:
    Αν και αποτελεί σπάνια επιπλοκή, τα νεύρα ή τα αγγεία μπορούν να διαταθούν κατά τη διάρκεια της επέμβασης.
  • Συνεχιζόμενος πόνος στο γόνατο χωρίς ανακούφιση από τα συμπτώματα.
  • Επιπλοκές που σχετίζονται με την αναισθησία.

Μονοδιαμερισματική Αρθροπλαστική Γόνατος: Αποκατάσταση

  • Όπως αναφέραμε και παραπάνω, η μονοδιαμερισματική αρθροπλαστική του γόνατος γίνεται με μια σχετικά μικρή τομή και γενικότερα με μία ελάχιστα επεμβατική τεχνική. Έτσι, η παραμονή του ασθενούς στο νοσοκομείο είναι πιο σύντομη, ενώ μικρότερη είναι και η διάρκεια της αποθεραπείας.
  • Ο μετεγχειρητικός πόνος είναι ηπιότερος. Επιπλέον, η άρθρωση παρουσιάζει μικρότερο οίδημα και γενικότερα, οι ασθενείς που υποβάλλονται σε επέμβαση μονοδιαμερισματικής αρθροπλαστικής έχουν ταχύτερη αποθεραπεία σε σχέση τους ασθενείς που υποβάλλονται σε ολική αρθροπλαστική γόνατος. Αυτό σημαίνει, ότι στις περισσότερες περιπτώσεις, οι ασθενείς επιστρέφουν σπίτι σε μία με τρεις ημέρες μετά το χειρουργείο.
  • Η φόρτιση του σκέλους αρχίζει άμεσα μετά το χειρουργείο. Μπορεί να χρειαστούν πατερίτσες ή μια βακτηρία (μπαστούνι) για τις πρώτες ημέρες ή και εβδομάδες μέχρι ο ασθενής να αισθανθεί αρκετά άνετα ώστε να βαδίζει χωρίς βοήθεια.
  • Κατά την μετεγχειρητική περίοδο, ο χειρουργός σε συνεργασία με τον φυσικοθεραπευτή υποδεικνύουν στον ασθενή τις κατάλληλες ασκήσεις για τη διατήρηση του εύρους κίνησης και την επαναφορά της μυϊκής δύναμης.
  • Τυπικά, ο ασθενής επανέρχεται στις προ του χειρουργείου δραστηριότητές του εντός 4 εβδομάδων από το χειρουργείο.

Ο Ορθοπαιδικός Χειρουργός Θωμάς Κωστάκος βρίσκεται στη διάθεσή σας για να σας παρέχει εξατομικευμένη θεραπεία για όποιο ορθοπαιδικό πρόβλημα σας απασχολεί. Επικοινωνήστε μαζί μας και κλείστε το ραντεβού σας.

Συχνές Ερωτήσεις Για Μονοδιαμερισματική Αρθροπλαστική Γόνατος

Ποιες δραστηριότητες μπορείτε να κάνετε μετά την μονοδιαμερισματική αρθροπλαστική γόνατος;

Μετά την μονοδιαμερισματική αρθροπλαστική γόνατος, οι ασθενείς μπορούν να επιστρέψουν σε πολλές από τις καθημερινές τους δραστηριότητες όπως το περπάτημα μετά την επέμβαση, ακολουθώντας τις οδηγίες του γιατρού σας και του φυσικοθεραπευτή, σε συμμετοχή σε ασκήσεις χαμηλής πρόσκρουσης, όπως το ποδήλατο γυμναστικής και η κολύμβηση, που δεν επιβαρύνουν υπερβολικά το γόνατο και σε καθημερινές δραστηριότητες όπως οι δουλειές του σπιτιού και η εργασία στο γραφείο, συνήθως μετά από μερικές εβδομάδες.

Τι χρειάζεται να κάνετε πριν από την μονοδιαμερισματική αρθροπλαστική γόνατος;

Πριν από την μονοδιαμερισματική αρθροπλαστική γόνατος, υπάρχουν διάφορα βήματα και προετοιμασίες που πρέπει να κάνετε για να διασφαλίσετε την επιτυχία της επέμβασης και την ταχεία ανάρρωση όπως να συμβουλευτείτε τον γιατρό σας και υποβληθείτε σε πλήρη ιατρικό έλεγχο για να διαπιστωθεί η καταλληλότητά σας για την επέμβαση. Ξεκινήστε ένα πρόγραμμα φυσιοθεραπείας για να ενδυναμώσετε τους μύες γύρω από το γόνατο και ακολουθήστε μια υγιεινή διατροφή.

Ποιο το κόστος της μονοδιαμερισματικής αρθροπλαστικής γόνατος;

Ανάλογα με την επιλογή της τεχνικής προκύπτει και το τελικό κόστος, το οποίο διαφέρει από ασθενή σε ασθενή. Μετά την πρώτη σας συζήτηση με ορθοπαιδικό χειρουργό θα μάθετε επακριβώς το κόστος.